Zęby zatrzymane to problem, który często przez długi czas nie daje wyraźnych objawów klinicznych. Pacjent może nie odczuwać bólu ani dyskomfortu, mimo że w kości szczęki lub żuchwy rozwija się nieprawidłowo położony ząb. W diagnostyce tego typu przypadków kluczową rolę odgrywa badanie radiologiczne. Czy RTG zębów rzeczywiście pozwala wykryć zęby zatrzymane? Odpowiedź brzmi: tak – i to z dużą precyzją.
Czym są zęby zatrzymane?
Ząb zatrzymany to ząb, który nie wyrżnął się w prawidłowym czasie do jamy ustnej, mimo że jego rozwój korzenia jest zakończony lub zaawansowany. Przyczyną może być brak miejsca w łuku zębowym, nieprawidłowe ustawienie zawiązka zęba, obecność przeszkód mechanicznych (np. torbieli, innych zębów) bądź uwarunkowania genetyczne.
Najczęściej zatrzymaniu ulegają:
- trzecie trzonowce (zęby mądrości),
- kły górne,
- rzadziej przedtrzonowce i siekacze.
Ząb zatrzymany może być całkowicie ukryty w kości (zatrzymanie całkowite) lub częściowo widoczny w jamie ustnej (zatrzymanie częściowe).
Na czym polega badanie RTG zębów?
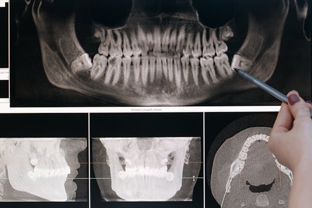
RTG zębów Gdynia to badanie obrazowe wykorzystujące promieniowanie rentgenowskie do uzyskania obrazu struktur twardych jamy ustnej. Promieniowanie przenika przez tkanki, a jego pochłanianie zależy od ich gęstości. Tkanki twarde, takie jak szkliwo i kość, są dobrze widoczne na zdjęciu radiologicznym.
W diagnostyce stomatologicznej wykorzystuje się różne rodzaje zdjęć RTG:
- punktowe (wewnątrzustne),
- pantomograficzne (panoramiczne),
- cefalometryczne,
- tomografię komputerową CBCT.
W kontekście zębów zatrzymanych szczególne znaczenie ma zdjęcie pantomograficzne, które pozwala ocenić obie szczęki jednocześnie.
Czy RTG wykrywa zęby zatrzymane?
Tak – RTG jest podstawowym narzędziem diagnostycznym w wykrywaniu zębów zatrzymanych. Ponieważ ząb zatrzymany znajduje się w kości, jego obecność nie zawsze jest możliwa do stwierdzenia podczas badania klinicznego. Zdjęcie radiologiczne pozwala:
- określić dokładne położenie zęba w kości,
- ocenić kierunek jego wzrostu,
- sprawdzić stopień rozwoju korzenia,
- zidentyfikować ewentualne zmiany patologiczne (np. torbiele),
- ocenić relację do sąsiednich zębów i struktur anatomicznych (np. nerwu zębodołowego dolnego).
W praktyce klinicznej już standardowe zdjęcie pantomograficzne pozwala z dużą dokładnością rozpoznać ząb zatrzymany oraz zaplanować dalsze postępowanie.
Jakie RTG jest najlepsze do wykrycia zęba zatrzymanego?
W większości przypadków wystarczające jest zdjęcie panoramiczne (pantomogram), które daje ogólny obraz uzębienia i struktur kostnych. Jest ono rutynowo wykonywane w diagnostyce ortodontycznej oraz przed zabiegami chirurgicznymi.
W bardziej skomplikowanych przypadkach, zwłaszcza gdy ząb zatrzymany znajduje się blisko ważnych struktur anatomicznych, lekarz może zalecić tomografię komputerową CBCT. Badanie to umożliwia:
- trójwymiarową ocenę położenia zęba,
- dokładne określenie relacji z nerwami i zatoką szczękową,
- precyzyjne zaplanowanie zabiegu chirurgicznego.
CBCT jest szczególnie przydatne przy zatrzymanych dolnych ósemkach oraz kłach górnych przemieszczonych podniebiennie.
Czy RTG zawsze jest konieczne?
W przypadku podejrzenia zęba zatrzymanego badanie radiologiczne jest praktycznie niezbędne do postawienia jednoznacznej diagnozy. Objawy kliniczne, takie jak brak zęba w łuku, przemieszczenie sąsiednich zębów czy nawracające stany zapalne, mogą sugerować problem, jednak dopiero RTG pozwala potwierdzić jego obecność i określić szczegóły anatomiczne. Warto podkreślić, że dawka promieniowania w nowoczesnej radiologii stomatologicznej jest niska i bezpieczna, a korzyści diagnostyczne zdecydowanie przewyższają potencjalne ryzyko.
Jakie mogą być konsekwencje niewykrytego zęba zatrzymanego?
Nieleczony ząb zatrzymany może prowadzić do powikłań, takich jak:
- uszkodzenie korzeni sąsiednich zębów,
- powstawanie torbieli zębopochodnych,
- stany zapalne tkanek okołozębowych,
- zaburzenia zgryzu,
- przewlekły ból.
Wczesne wykrycie zęba zatrzymanego dzięki badaniu RTG pozwala zapobiec tym powikłaniom oraz zaplanować leczenie chirurgiczne lub ortodontyczne.
Podsumowanie
RTG zębów jest skuteczną i podstawową metodą wykrywania zębów zatrzymanych. Dzięki badaniu radiologicznemu możliwe jest dokładne określenie położenia zęba, ocena jego wpływu na sąsiednie struktury oraz zaplanowanie odpowiedniego leczenia. W praktyce klinicznej najczęściej wystarcza zdjęcie pantomograficzne, natomiast w bardziej złożonych przypadkach wykorzystuje się tomografię CBCT. Wczesna diagnostyka pozwala uniknąć powikłań i zapewnia pacjentowi bezpieczne oraz skuteczne leczenie.
Przeczytaj także ➡ https://plis.com.pl/jak-wyglada-pierwsza-wizyta-u-ortodonty/











